Здоровье и медицина
-
Некроз: от гангрены до некроптоза. Как смерть клетки управляет жизнью организма
В мире живой материи смерть столь же фундаментальна, как и жизнь. Но если жизнь изучает биология, то за детальное описание…
Подробнее -
Ученые обнаружили мозговые волны, определяющие границы собственного тела
Ученые сделали значительный шаг в понимании того, как мозг определяет границы собственного тела. В ходе серии экспериментов международная группа исследователей…
Подробнее -
Европа создаст первую орбитальную лабораторию для исследований рака в космосе
В Европе представили проект первой в истории коммерческой орбитальной лаборатории, целиком посвящённой исследованиям рака в условиях микрогравитации. Компания SPARK Microgravity…
Подробнее -
Учёные выяснили, что вакцина от опоясывающего лишая может замедлять старение
Согласно новому исследованию, вакцина против опоясывающего лишая может быть связана с замедлением процессов биологического старения, а её благотворное влияние способно…
Подробнее -
Новая технология неинвазивной стимуляции мозга может помочь раскрыть тайну сознания
Ученые из Массачусетского технологического института (MIT) представили новое исследование, в котором описывается, как развивающийся метод стимуляции мозга — транскраниальный фокусированный…
Подробнее -
Кембриджские ученые создали ИИ-воротник для восстановления речи после инсульта
Ученые из Кембриджского университета представили инновационное носимой устройство на базе искусственного интеллекта, призванное помочь пациентам восстановить речь после перенесенного инсульта…
Подробнее -
В живой человеческой клетке впервые напечатали микроскопические 3D-структуры
Исследователи из Словении впервые продемонстрировали возможность создания микроскопических твердых структур непосредственно внутри живых человеческих клеток. Метод, основанный на лазерной технологии,…
Подробнее -
Генетическое исследование раскрыло многовековую историю вируса герпеса 6 типа
Учёные обнаружили прямые генетические доказательства того, что один из самых распространённых человеческих вирусов, поражающий практически всех детей в раннем возрасте,…
Подробнее -
Фермент из слизистой плесени открыл путь к массовому производству «здорового» сахара
Ученые сделали важный шаг к широкому производству натурального сахара, который обладает сладким вкусом, содержит мало калорий и, что самое важное,…
Подробнее -
Космический эксперимент открыл новый путь в борьбе с лекарственной устойчивостью бактерий
Уникальная среда микрогравитации на борту Международной космической станции (МКС) изменяет ход эволюционной гонки вооружений между бактериями и поражающими их вирусами-бактериофагами.…
Подробнее -
Ученые создали миниатюрную модель матки для изучения имплантации эмбриона
Китайские ученые преодолели ключевое препятствие в репродуктивной медицине, разработав миниатюрную модель матки на микрочипе, которая точно воспроизводит процесс прикрепления человеческого…
Подробнее -
Учёные нашли белок, ответственный за старение суставов, и способ его "отключить"
Исследователи из Стэнфордского университета, проводившие эксперименты на мышах, обнаружили, что возрастную потерю хрящевой ткани можно связать с одним специфическим белком.…
Подробнее -
Ученые представили систему слежения за глазами, питающуюся от моргания
Китайские ученые представили новую систему для отслеживания движений глаз, которая использует трение между поверхностью глаза и веком во время моргания,…
Подробнее -
Учёные выяснили, почему мозг одних людей переключается между задачами быстрее
Способность человеческого мозга обрабатывать информацию с разной скоростью — от мгновенной реакции на внезапный звук до медленного обдумывания сложных задач…
Подробнее -
Всего 3 дня чрезмерного употребления алкоголя вызывают быстрое повреждение кишечника у мышей
Новое исследование на мышах демонстрирует, что даже кратковременный период чрезмерного употребления алкоголя может нанести быстрый и значительный ущерб кишечнику. Ранее…
Подробнее -
Инженеры создали биоразлагаемую таблетку с радиосигналом для контроля лечения
Инженеры Массачусетского технологического института (MIT) совершили прорыв в области контроля приема лекарств, разработав «сообщающуюся» таблетку. Новое устройство, которое может быть…
Подробнее -
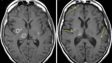
Открыты два различных варианта течения рассеянного склероза
Учёные обнаружили, что рассеянный склероз, по-видимому, имеет два различных биологических подтипа, что может в будущем изменить подход к диагностике и…
Подробнее -
Учёные нашли единственный микроб, блокирующий набор веса от жирной пищи
Учёные из Университета Юты обнаружили, что один-единственный вид кишечных бактерий способен в одиночку значительно уменьшить прибавку в весе и улучшить…
Подробнее -
Исследование с использованием технологии CRISPR выявило новое нейроразвивающее расстройство путем картирования сотен генов, связанных с развитием мозга
Новаторское исследование с использованием технологии CRISPR позволило идентифицировать сотни генов, необходимых для развития клеток мозга, и определить ранее неизвестное тяжелое…
Подробнее -
Учёные впервые синтезировали перспективное противораковое соединение спустя 55 лет после его открытия
Учёные из Массачусетского технологического института (MIT) и Гарвардской медицинской школы впервые осуществили полный искусственный синтез природного соединения вертициллина А, обладающего…
Подробнее