Определения

Тучные клетки

Тучные клетки (также известные как мастоциты, от нем. Mastzellen — «откормленные клетки») — это клетки соединительной ткани организма, относящиеся к группе гранулоцитов (клеток крови, содержащих в цитоплазме гранулы). Они играют ключевую роль в иммунной системе, особенно в реакциях аллергии и воспаления.

1. Происхождение и локализация

  • Происхождение: Образуются в костном мозге из стволовых клеток крови.
  • Где живут: В отличие от большинства клеток крови, тучные клетки покидают кровеносное русло и оседают в тканях.
  • Излюбленные места: Они находятся везде, где организм граничит с внешней средой или где есть риск проникновения чужеродных агентов:
    • Кожа
    • Слизистые оболочки дыхательных путей (нос, легкие)
    • Желудочно-кишечный тракт
    • Вокруг кровеносных сосудов и нервов.

2. Строение (Почему они "тучные"?)

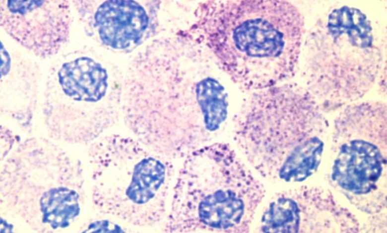
Название связано с их внешним видом под микроскопом. Цитоплазма тучной клетки плотно набита гранулами (пузырьками с активными веществами), из-за чего она выглядит "упитанной" или зернистой.

3. Функции и механизм работы

Тучные клетки — это, по сути, «тревожные кнопки» организма, начиненные взрывчаткой.
Главные рецепторы на их поверхности:

  • Рецепторы к антителам IgE: Это самый известный механизм. Когда в организме вырабатываются аллергические антитела (иммуноглобулины Е), они прикрепляются именно к тучным клеткам.

Процесс активации (Дегрануляция):

  1. Сенсибилизация: Тучная клетка «вооружается», захватывая антитела IgE.
  2. Встреча с аллергеном: При повторном попадании в организм аллергена (например, пыльцы или белка из еды) он связывается с этими антителами на поверхности тучной клетки.
  3. Взрыв: Клетка мгновенно разрушает свои гранулы и выбрасывает их содержимое наружу (этот процесс называется дегрануляция).

4. Что содержат гранулы (Медиаторы воспаления)

Содержимое тучных клеток — это мощнейшие химические вещества, вызывающие воспаление и аллергию:

  1. Гистамин: Главное вещество. Вызывает:
    • Расширение сосудов (покраснение).
    • Повышение проницаемости сосудов (отек).
    • Спазм гладкой мускулатуры (бронхоспазм — при астме).
    • Зуд.
  2. Гепарин: Препятствует свертыванию крови (чтобы воспаление могло распространяться).
  3. Ферменты (триптаза, химаза): Разрушают ткани, помогая "расчищать" путь иммунным клеткам.
  4. Факторы хемотаксиса: Сигналы для подкрепления (привлекают другие клетки иммунитета, например, эозинофилы).

5. Роль в заболеваниях и защите

В зависимости от контекста, тучные клетки могут быть как спасителями, так и врагами.

А. Положительная роль (Защита):

  • Паразиты: Исторически (эволюционно) тучные клетки нужны для борьбы с многоклеточными паразитами (глистами). Выброс веществ создает среду, токсичную для паразитов, и усиливает местное воспаление, чтобы вытолкнуть захватчика.
  • Заживление ран: Участвуют в ангиогенезе (росте новых сосудов).
  • Барьерная функция: Первыми сигнализируют о повреждении тканей или бактериях.

Б. Отрицательная роль (Патология):

  • Аллергия: Самый известный пример. При аллергии клетки ошибочно реагируют на безвредные вещества (пыльцу, еду, шерсть).
    • Крапивница (зуд и волдыри) — гистамин в коже.
    • Аллергический ринит (насморк) — гистамин в носу.
    • Анафилактический шок — массивный выброс гистамина по всему организму (падение давления, удушье).
  • Аутоиммунные заболевания: Могут поддерживать хроническое воспаление.
  • Мастоцитоз: Редкое заболевание, при котором в организме образуется слишком много тучных клеток, которые накапливаются в коже или внутренних органах, вызывая системные симптомы (покраснение, диарею, боли в костях) без воздействия аллергена.

Лечение и воздействие

Поскольку главный "враг" в аллергии — это гистамин, основными лекарствами являются антигистаминные препараты. Они блокируют рецепторы, на которые действует выброшенный гистамин, и нейтрализуют симптомы. Стабилизаторы мембран тучных клеток (например, кромоглициевая кислота) предотвращают сам процесс разрушения гранул.

Подпишитесь на нас: Вконтакте / Telegram / Дзен Новости / MAX
Back to top button